Tüm Bu Et ve Derinin Altında Ne Var? İnsan Vücudundan 15 Şaşırtıcı Tarama Görüntüsü
İnsan vücudu var olan en mükemmel sistemlerden biridir ve çalışma şekli en küçük ayrıntıya kadar tıkır tıkır işler. Her saniye sayısız işlem, insan vücudunda gerçekleşir. Yeni hücreler gelişir, eskileri ölür. Kan, kalbin sol karıncığından sağ kulakçığa 27 saniyeden daha az bir sürede gider. Dahası, bilim insanları bile vücudumuzda olan şeyleri tam anlamıyla kavrayamaz, bu yüzden de röntgen ve tomografi gibi teknolojik yolları kullanırlar.
Bizlerse bu yollarla elde edilmiş ilginç görüntüleri sizlerle paylaşıyoruz:
İçeriğin Devamı Aşağıda

Reklam
1. Polidaktili bir elin röntgeni:

İçeriğin Devamı Aşağıda

Reklam
2. Süt dişleriyle kalıcı dişleri yer değiştiren 10 yaşındaki bir erkek çocuğunun çenesi:

3. 37 haftalık hamile bir kadının tomografisi:

4. Sağlıklı bir insan beyninin MRI'ı:

5. MRI'da görünen göğüs protezleri:

İçeriğin Devamı Aşağıda

Reklam
6. Aortun reklendirilmiş MRI'ı:
7. Yetişkinlerin aksine, belli bir yaşa kadar kemik yerine kıkırdakları olan bir çocuk elinin röntgeni:

8. Damarlar ve atardamarlar:
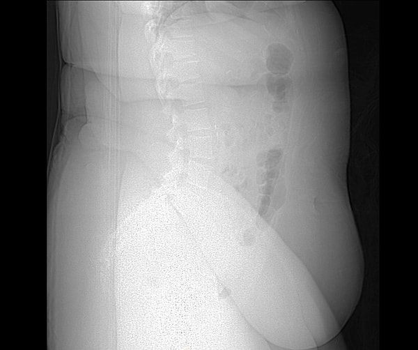
9. Obezitesi olan bir insanın röntgeni. Yumuşak doku fazlalığı alttaki kemikleri görmeyi engelliyor:

10. Bir çocuğun ve yetişkinin ellerinin röntgeni:

İçeriğin Devamı Aşağıda

Reklam
11. Sol bacaktaki damar tıkanıklıklarını gösteren bir görsel:

12. Beyin tümörü:

13. Damarların biçimsizleşmesini gösteren bir tomografi:

14. Kazada yaralanan kişinin ameliyatla kafatasının düzeltilmesinin ardından çekilmiş bir görüntü:

15. Kalp atışı:
Yorumlar ve Emojiler Aşağıda

Reklam
Keşfet ile ziyaret ettiğin tüm kategorileri tek akışta gör!


Yorum Yazın
Bilim muhteşemdir.
4 deki görsel de o gözler nedir? bunlar mı kalbimizin aynası.